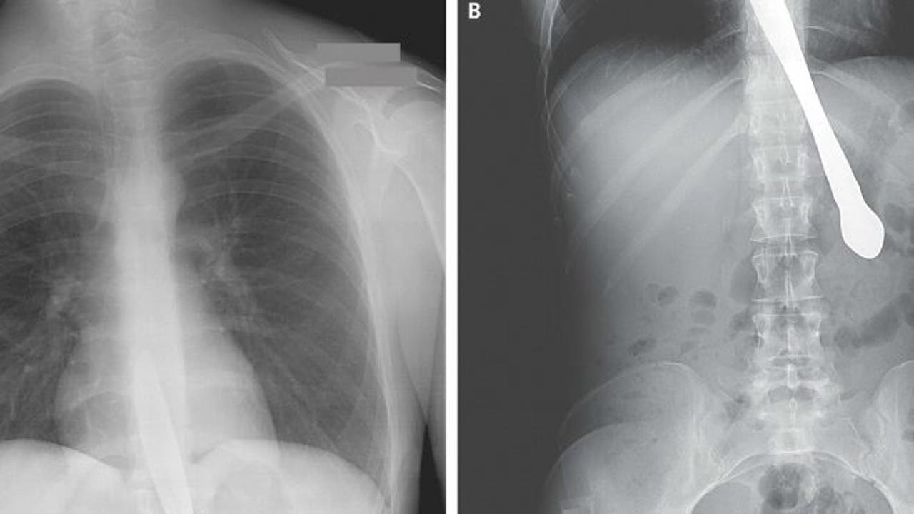
A 30-year old woman was taken to the emergency room after accidentally swallowing a butter knife, the New England Journal of Medicine (NEJM) reported.
The woman, who had a history of bulimia, was attempting to show her friends that she no longer had a gag reflex.
But when she laughed, she accidentally swallowed the knife, lodging it in her esophagus, according to NEJM.
Doctors had to perform surgery to remove the knife, but said there was no additional damage to her esophagus or stomach. The woman was able to begin eating again without complications.
The woman’s husband told doctors his wife had swallowed another knife four years earlier, which required surgical removal.









































