Move Back
ADVERTISEMENT
Skip- Published22 Images
Outrageous injuries
The next time you complain about a paper cut or headache, consider these injuries
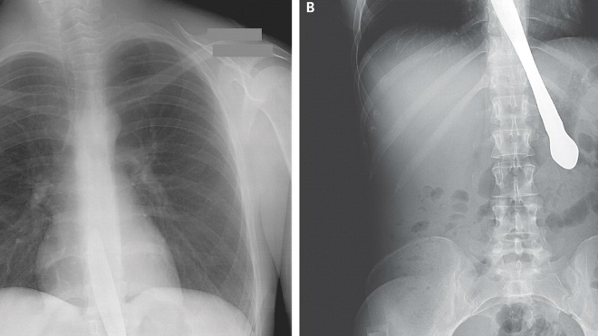
A 30-year-old woman swallowed a butter knife while attempting to prove to her friends that she had no gag reflex, according to an article in the New England Journal of Medicine. The knife lodged in the former bulimic's esophagus and proximal stomach. According to the journal, her husband said this is not the first time she has attempted this trick. Four years prior, she swallowed a knife and it was surgically removed. Doctors used a camera to remove the knife, and she was able to resume eating shortly thereafter.read moreNew England Journal of MedicineShare![yasserlopezxray]()
A 76-year-old woman went to the hospital complaining of weight loss and diarrhea, only to find she had a felt-tipped pen lodged in her stomach, according to the British Medical Journal. The woman told doctors she had accidentally swallowed a pen 25 years ago when she slipped while “interrogating a spot on her tonsil.” When doctors – and the woman’s husband didn’t believe her - an X-ray proved she was right. To the surprise of doctors, the pen was still in working order. A doctor wrote “hello” with it and then took a photo.read moreBritish Medical JournalShare
In this image provided by the University Medical Center in Tucson, a CT scan shows a pair of pruning shears embedded in the head of an 86-year-old Green Valley, Ariz., man before it was removed by Medical Center surgeons in Tucson on July 30, 2011. Leroy Luetscher was accidentally impaled through his eye socket after falling on the shears while working in his yard, the handle penetrating his eye socket and reaching down into his neck. He is expected to make a full recovery. Click here to read more on this story.read moreAPShare
Andrew Linn was in Las Vegas when he fell asleep driving his car last year. He crashed into a chain-link fence and had a pole impale through his head. He was recently reunited with the doctor who saved his life. Dr. Andrew Coates, an associate professor of surgery at University Medical Center, said he was surprised to see Linn was conscious after the accident – and trying to use his cell phone. Linn walked away from the accident with scars, missing teeth and a destroyed palate.read moreFox 5 News - Las VegasShare
This X-ray shows a compound fracture of the tibia – the same kind of fracture Trevor Roberts likely suffered during his high school football game on September 24 – although, this is not an actual X-ray of the teen’s leg. After surgery to insert a titanium rod Trevor’s left leg, gangrene set in and doctors had to remove the limb from above the knee.read moreCourtesy: Dr. Frank Alberta, HUMCShare
There's a reason why family and hospital staff are calling little Jessiah Jackson a "miracle boy." The 17-month-old, who was impaled in the skull by a metal rod, has been released from the hospital less than two weeks after the object was lodged 2 inches into his brain. Jessiah was playing outside his family’s home in Leland, N.C., on July 17 when he fell off a chair and onto an L-shaped rod attached to a pressure washer. He was rushed to the hospital where neurosurgeons at UNC Children’s Hospital spent two hours removing the piece of metal that had embedded into the toddler’s brain at an angle. So far, examinations by ophthalmologists have been unable to find any evidence of damage to Jessiah's eyesight. And that’s just part of the good news: Doctors said they expect Jessiah to make a full recovery with no long-term damage.read moreUNC HospitalsShare
A U.S. military doctor removed a live round of ammunition from the head of an Afghan soldier in an unusual and harrowing surgery. Doctors say a 14.5 millimeter unexploded round — more than 2 inches long — was removed from the scalp of an Afghan National Army soldier at the Bagram Air Field hospital last month.read moreAPShare
When the Afghan soldier, in his 20s, arrived at the base, doctors thought it was shrapnel or the spent end of some sort of round, said Lt. Col. Anthony Terreri, a radiologist deployed from Wilford Hall Medical Center at Lackland Air Force Base in Texas. But as he reviewed a CAT scan of the soldier, he realized it was a much bigger problem. He immediately went to inform neurosurgeon Maj. John Bini, also of Lackland. Bini had the operating room evacuated; the surrounding hallways were secured, and he and anesthesiologist, Maj. Jeffrey Rengel, put on body armor for the surgery. Bini and Rengel were joined in the operating room by a member of a bomb disposal team. And after Bini removed the round from the patient's head, the bomb technicians took it away. The patient, who officials did not identify by name, is continuing to improve, the Air Force statement said.read moreAPShare
Xiao Wei, 16, who was attacked in a dispute over the video game he was playing, was able to walk into the emergency room entrance of Jillin University with the 10-inch knife still lodged in his head. An operation to remove the blade took more than two hours. X-rays and CAT scans revealed that no main arteries or nerves were damaged.read more![Phone in Stomach]()
June 10, 2008: An x-ray showing a nail lodged in the head of George Chandler of Shawnee, Kan. Chandler and a friend were working on a project when a nail gun hose became tangled, causing the powerful tool to fire one nail. Chandler said he told his friend he didn't know where the nail went, but he felt a sting on the top of his head.read more![Knife in Head]()
![Knife in Head 1]()
![Bullet in Nose 1]()
Oct. 30, 2008: Dr. Sarah Jarvis told Sky News that Daniel Greenwood had a lucky escape. "The nose is mainly made up of cartilage, but at the top you have got bone," she said. "If you point a gun straight up a nostril, a bullet would have to travel through a lot of bone in order to get into the skull. Bone is hard and very strong, so in this case it sounds like it slowed the bullet down enough not to have been fatal."read more![Bottle X-Ray]()
![Bottle X-Ray 2]()
After a wild New Years Eve with too much alcohol, a Polish man living in Germany went about his business for about five years without noticing he had been shot in the head. Police in the western city of Bochum said doctors found a .22 caliber bullet in the back of his head after the 35-year-old went to have what he thought was a cyst removed.read moreReutersShare![karla3]()
![karla2]()
A pencil went through Olivia Smith's eye cavity and lodged itself in her brain, the New Hampshire Union Leader reported. The pencil pierced through both of Olivia’s brain hemispheres, and she had to be flown to Boston Children’s Hospital via helicopter. More than 50 doctors worked on her case, and they all agreed the trajectory of the pencil ‘narrowly’ missed the parts of her brain that could have led to death or permanent damage. Click here to read more on this story.read more- Published22 Images
Outrageous injuries
The next time you complain about a paper cut or headache, consider these injuries
Move Forward
- Outrageous injuries






















Thumbnail View
Image 0 of 22





















