Teen allegedly told to stop Googling symptoms dies of rare cancer A hospital in the United Kingdom is apologizing after a teenager who was allegedly told to stop looking up her symptoms online died of a rare cancer.
Lauren Hill remembered at arena where she made her layup Lauren Hill is being remembered with her own music and words in the basketball arena where she had one of her greatest moments.
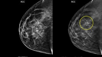
US cancer screening uneven, not up to targets In 2013, mammogram and colorectal cancer screening rates had stalled and Pap tests were on the decline, with many eligible U.S. adults not getting the recommended tests, according to a new report.
Buffalo cancer hospital doctor dies after Colorado skiing accident The head of the leukemia section at Buffalo's Roswell Park Cancer Institute has died from injuries suffered in a ski accident in Colorado earlier this month.
10 questions to ask your doctor after a cancer diagnosis Whether you have cancer or someone close to you does, there are some basic facts to understand about the diagnosis in order to begin moving forward with a treatment program
Texas baby improves after brain surgery allowed by insurer's change of heart Little Savannah Snodgrass -- a 7-month-old Texas girl who was stricken with a life-threatening brain tumor -- is "doing great" Saturday after undergoing extensive surgery the day before, and has been moved out of the ICU earlier than expected. The operation came after her health insurance company reversed a decision that had denied her surgery at her family's preferred hospital.
Smokers Have Slimmer Odds of Surviving Colon Cancer Smokers aren't just more likely to develop colon cancer than non-smokers, they might also be at higher risk of dying from the disease, a new study suggests
Teen cancer survivor fundraising for new teeth after insurance refuses to pay Alex Hunter, 16, beat cancer twice— but now he needs dentures after having his teeth removed, reported USA Today.
Rare disease leaves girl with half a kidney When 2-year-old Olorato Astrid Selelo came into the hospital, doctors thought she had a common kidney tumor— but they later found that she had one in each kidney, a potentially unsurvivable diagnosis in Botswana.
Group helps unite young adult cancer survivors About 72,000 young adults are diagnosed with cancer annually. Once every eight minutes. Dealing with cancer when you’re between 15 and 39 years old is scary, isolating and downright frightening. Stupid Cancer is a group that helps young cancer survivors find support