October 23, 2015 Women Gain Weight After Wedding, Men After Divorce, Study Says According to scientists at Ohio State University, women are more likely to gain weight after their wedding day, while men pile on the pounds after divorce, with both marital transitions acting as "weight shocks"
October 23, 2015 How Sweet It Is: What You Need to Know About Artificial Sweeteners One popular and effective way to cut carbohydrate intake is through the consumption of artificial sweeteners, but what does the research say about them?
October 23, 2015 The scariest infectious diseases right now Between the emergence of the deadly MERS and H7N9 viruses – and the success of Brad Pitt’s new movie “World War Z” in which a viral outbreak turns half the world into zombies – it’s easy to be nervous about potentially dangerous germs and bacteria lurking around on surfaces and in the air.
October 23, 2015 Lung Cancer Caregivers Find Support Online Imagine being told out of nowhere that someone you love has lung cancer and their chances of survival look grim. Now, imagine that your loved one doesn’t smoke and is otherwise healthy. . . It happens more than you think.
October 23, 2015 Neuroscience in court: Is brain to blame for some law breakers? Neuroscience - the science of the brain and how it works - is taking the stand in court and beginning to challenge society's notions of crime and punishment
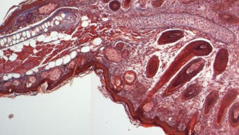
October 23, 2015 Spiny mouse can regrow skin For the first time, biologists studied a mouse native to Africa that can escape predators by losing patches of skin that regrow quickly. Their research could one day lead to scar-free tissue regrowth for humans
October 23, 2015 Embryonic Stem Cell Research Halted, Staff Laid Off The company doing the first government-approved test of embryonic stem cell therapy is discontinuing further stem cell work, a move with stark implications for a field offering hope of future medicines for conditions with inadequate or no current treatments
October 23, 2015 Heightening awareness about Crohn's Disease December 1-7 is Crohn’s Awareness Week. This is an important opportunity to share about a disease that can be very debilitating and very embarrassing for the people who have it
October 23, 2015 New Resolution Could Bar Parents From Knowing Baby’s Sex A Council of Europe committee has drafted a resolution that would instruct medical staff to withhold revealing the sex of the fetus in an attempt to prevent parents from “selectively aborting"
October 23, 2015 CDC Announces 2011 Flu Vaccine Recommendations The vaccine recommended for the coming flu season will protect against the same three viruses that last year's flu vaccine did, according to a report from the Centers for Disease Control and Prevention