
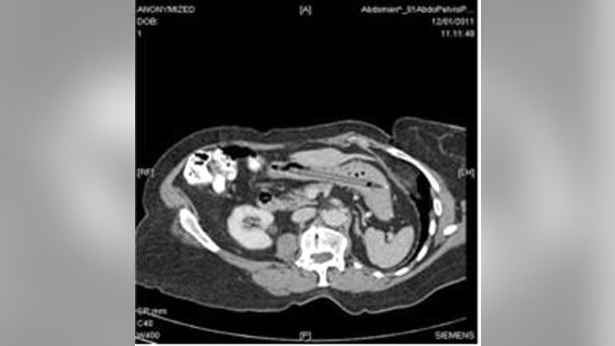
A 76-year-old woman went to the hospital complaining of weight loss and diarrhea, only to find she had a felt-tipped pen lodged in her stomach, the Edmonton Sun reported.
The discovery was published in the British Medical Journal.
The woman told doctors she had accidentally swallowed a pen 25 years ago when she slipped while “interrogating a spot on her tonsil.”
When doctors – and the woman’s husband - didn’t believe her an X-ray proved she was right.
To the surprise of doctors, the pen was still in working order. A doctor wrote “hello” with it and then took a photo.








































