HEALTH October 8, 2021 Unvaxxed Colorado woman speaks out after hospital denies life-saving transplant: 'My days are numbered' An unvaccinated Colorado woman with stage 5 renal failure joined "The Ingraham Angle" Thursday to discuss how she was denied a kidney transplant due to her vaccination status.
Coronavirus August 31, 2021 Organ transplants saw marked decline worldwide amid pandemic: study An observational study spanning four continents indicated a marked decline in the number of solid organ transplants amid the COVID-19 pandemic, likely due to risk of infection and limited resources.
Coronavirus August 12, 2021 FDA greenlights COVID-19 booster vaccine for some immunocompromised patients The FDA authorized a COVID-19 booster shot for certain immunocompromised patients after evidence indicated a weak immune response following the initial two-dose series.
Coronavirus August 12, 2021 Walensky: FDA working to OK Pfizer, Moderna COVID booster shots for certain immunocompromised patients The Food and Drug Administration (FDA) is rapidly approaching a potential authorization for a third dose of Pfizer's and Moderna’s COVID-19 vaccines among certain immunocompromised patients, within the next day, Dr. Rochelle Walensky, head of the Centers for Disease Control and Prevention (CDC) said Thursday.
Faith & Values July 30, 2021 Church member receives kidney from his pastor: A ‘blessing from God’ Jeremy Whitham, 36, from Osceola, Missouri, found out his kidneys were failing in 2017.
Ohio July 14, 2021 Ohio hospital gives wrong patient a kidney, employees placed on leave An Ohio hospital placed two employees on administrative leave this week after admitting the wrong patient received a kidney transplant.
Coronavirus June 15, 2021 Extra COVID-19 vaccine may help protect transplant patients A small study offers the first hint that an extra dose of COVID-19 vaccines just might give some organ transplant recipients a needed boost in protection.
HEALTH April 23, 2021 NJ man sues for right to sell his organs, argues 1984 law banning organ trade is unconstitutional 20 Americans die every single day while waiting on an organ transplant list, but that could soon change as a New Jersey man is now suing to overturn a 1984 bill that makes it illegal to buy and sell organs.
Children's Health April 22, 2021 Parents of boy killed by alligator at Disney World advocate for pediatric organ donation in new campaign The parents of the 3-year-old boy who was tragically killed by an alligator at Walt Disney World are advocating for pediatric organ donation in a new campaign, coinciding with National Donate Life Month this April.
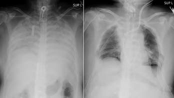
Transplants April 9, 2021 COVID-19 patient receives lung transplant from living donors Doctors in Japan announced Thursday they have successfully performed the world’s first transplant of lung tissue from living donors to a patient with severe lung damage from COVID-19.
Children's Health March 16, 2021 Family of boy killed at Disney World urges other grieving parents to consider organ donation Matt and Melissa Graves created the Lane Thomas Foundation after their son was killed by an alligator in 2016. The Omaha couple said they decided to focus on pediatric organ donation because they wanted to help other families fighting for their children's lives and they wanted to help kids because their son loved other children.