
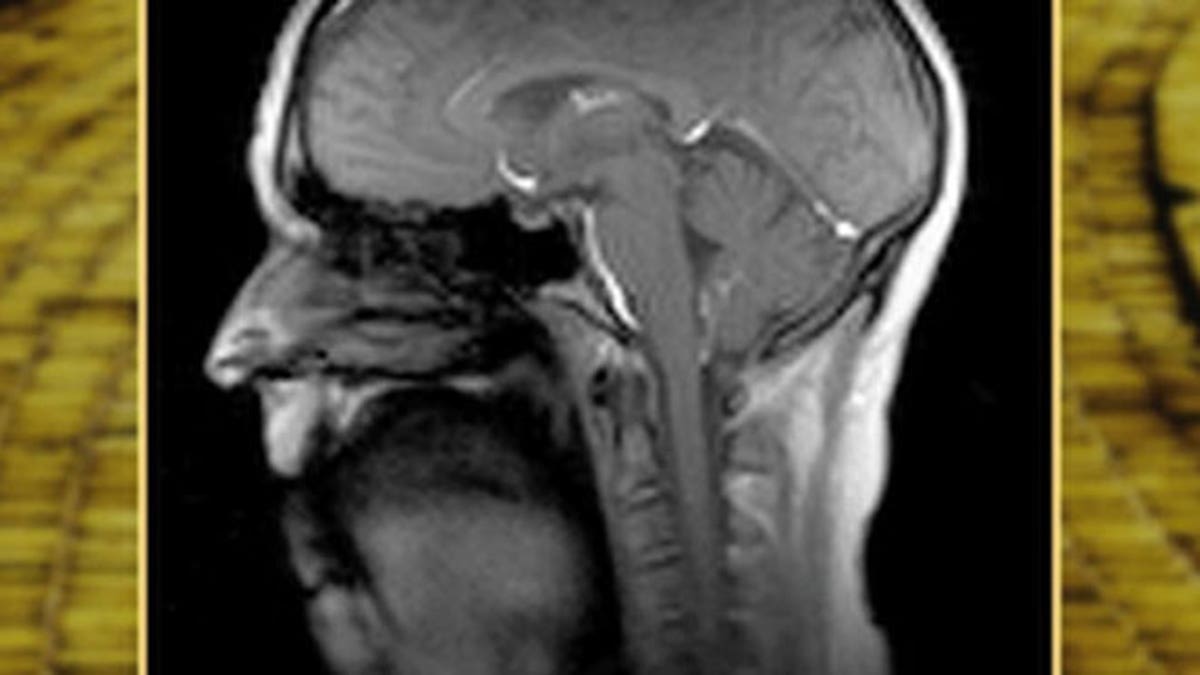
Photo courtesy the Beckman Institute
Using magnetic resonance imaging (MRI) to study how muscles collaborate to produce song and speech has proved challenging for scientists in the past, as typical technology can capture only about 10 frames per second.
. But researchers at the University of Illinois at Urbana-Champaign have overcome that hurdle by inventing a new MRI technology that can scan 100 frames per second without compromising image quality.
Study authors say the expedited technique, which they say is more advanced than any other MRI in the world, may help scientists reverse aging’s effect on the voice.
“The neuromuscular system and larynx change and atrophy as we age, and this contributes to a lot of the deficits that we associate with the older voice, such as a weak, strained, or breathy voice,” study author Aaron Johnson, affiliate faculty member at the university’s Bioimaging Science and Technology Group at the Beckman Institute and assistant professor in speech and hearing science, said in a news release. “I’m interested in understanding how these changes occur, and if interventions, like vocal training, can reverse these effects. In order to do this, I need to look at how the muscles of the larynx move in real time.”
The dynamic imaging has helped researchers analyze how about 100 different muscles in the chest, neck, jaw, tongue and lips coordinate, and change over time, to produce sound. Electrical and computer engineering professor Zhi-Pei Liang's group at the Beckman Institute developed the basis for the method.
“The technique excels at high spatial and temporal resolution of speech— it’s both very detailed and very fast. Often you can have only one these in MR imaging,” study author Brad Sutton, technical director of the Biomedical Imaging Center and associate professor in bioengineering, said in the release. “We have designed a specialized acquisition method that gathers the necessary data for both space and time in two parts and then combines them to achieve high-quality, high-spatial resolution, and high-speed imaging.”
In separate research, Johnson is using pre- and post-data drawn from the MRI technique to analyze how group singing in residential communities may improve the structure of the larynx and result in stronger voices.
In the current study, scientists used a noise-canceling fiber-optic microphone to draw out those voices, and then they used the imaging to align them with the audio track.
“We have a very dynamic community at the Beckman Institute and Illinois working on this, from engineers to linguists, and we’re able to measure things with MRI in ways we couldn’t have just a couple of years ago,” Sutton said.








































