
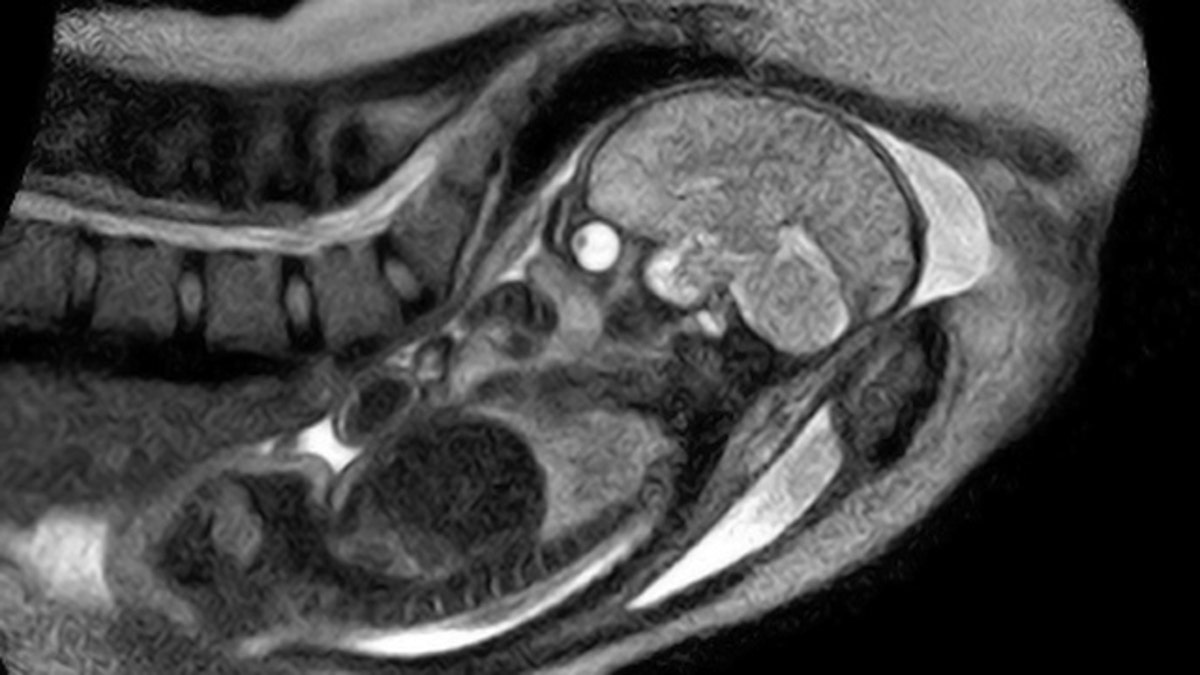
Researchers hope the new machine will allow them to study in “greater detail” how the baby moves through the birth canal, which should help them understand why a growing number of women end up needing a caesarean section. (Charité Hospital)
Doctors at a hospital in Berlin, Germany have pulled off a world first by creating MRI images of a woman giving birth, The Local Newspaper reported.
A team of obstetricians, radiologists and engineers at Charité Hospital have spent the last two years creating an “open” MRI scanner that allows a pregnant woman to fit fully into the machine to give birth. Traditional MRI machines look like long, narrow tunnels.
Researchers hope the new machine will allow them to study in “greater detail” how the baby moves through the birth canal, which should help them understand why a growing number of women end up needing a caesarean section.
Dr. Manny Alvarez, senior managing health editor of FoxNews.com and Chairman of the Department of Obstetrics and Gynecology and Reproductive Science at Hackensack University Medical Center in New Jersey, said this new technology is fascinating.
“For the first time we can clearly see the mechanics of a vaginal delivery,” he said. “For years, obstetricians have relied on very crude methods of understanding complications like cephalopelvic disproportion (CPD), which translates when the baby fails to descend into the birth canal and there is a rest in cervical dilatation, which ultimately leads to a C-section.”
Alvarez said many of the tools such as ultrasounds, X-rays of the pelvis to measure the internal bones of the mother-to-be, as well as manual examinations of the pelvic region can be very limiting.
“They never fully explain why some women are able to deliver 10-pound babies while others fail to deliver 7-pound babies,” he said.
Another immediate benefit to this technology is that it could also help better explain shoulder dystocia.
“This is a complication that could lead an infant to be significantly damaged at the time of vaginal birth,” Alvarez said. “Shoulder dystocia is when a baby’s head delivers through the vagina, however the shoulders get impacted behind the mother’s pelvic bone and it’s very difficult to predict. I think using this technology will allow us to have a better understanding of this process long-term.”
Here in the U.S., an estimated 30 percent of pregnant women deliver via caesarean section.
A hospital spokesman said the birth that took place in the new scanner went smoothly, and both the mother and baby are in good health.
MRI (magnetic resonance imaging) uses a magnetic field and radio waves to create detailed images of the organs and tissues. Doctors often use them to help diagnose conditions such as aneurysms, spinal cord injuries and tumors, as well as back and joint injuries.








































